home  -  ondertussen  -  het kunstwerk  -  gastenboek  -  contact_&_ links

De verschillende fases van ontwikkeling van het kunstwerk zullen hier te zien zijn.
Waar mogelijk in woord, beeld en geluid.

Uitgangspunt is de toren. De toren is mijn hoofd.  In de toren hangt een mobile met "eeuwig" draaiende platen. Deels beschilderd, deels spiegelend, deels transparant. De platen zijn mijn gedachten.  Daar omheen proberen wij mijn brein te scheppen.

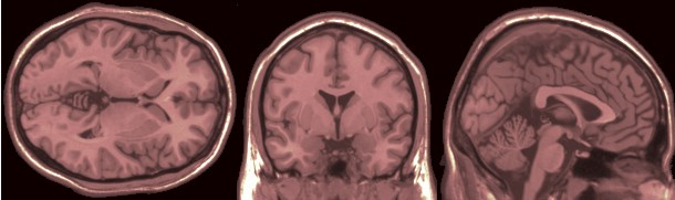
De beelden van de MRI-scan van de hersenen van Henk de Boer zijn binnen.
Grafisch ziet het er fantastisch en zeer inspirerend uit.

schedel

Beelden van de schedel, maar het gaat om het brein. Daarvan binnenkort beelden.

hersens henk

en dit zit erin.....

Vraag:  
Wie heeft er daadwerkelijk in mijn hoofd gekeken?
Antwoord:
De tandarts! Ik denk voor mijn tanden maar weet je dat zeker?
De doktersassistentes, bij het uitspuiten van mijn oren. Zagen ze daar alleen oorsmeer of kunnen ze verder kijken  dan mijn buis van eustachius?

holle

Vrouwenogen dus!
Vervolgens  vrouwenogen  verzameld op zoek naar het ultieme portret.

ogen

De ogen ingevoerd in mijn hersenscan.
ogen0000

Op de basis-track  werken de ogen in combinatie met de hersenscans bijna hypnotiserend.

film

Nu ik in mijn eigen hoofd zit merk ik pas dat het geheel slechts een tel, een ogenblik is van mijn gedachten en door ons ongemerkt is opgerekt tot een klein uur.

Opeens worden we ons ook bewust van het feit dat 400 jaar geleden de toren gebouwd werd.  De bouw stopte toen de centen op waren.  Onvoltooid, kreeg de toren een plat dakje met  een koepeltje. Een interieur is er nooit geweest. Nu na 400 jaar zijn wij degenen die de "maagdelijke" toren zijn interieur geven. Als opvolgers van de bouwmeester van toen.




bijgewerkt op:25-07-2007